שלוש נשים מקניה נעצרו השבוע בנחיתתן בשדה”ת הבינלאומי של פוקט. על גופן נמצא סם מסוג קוקאין במשקל כ3 קילוגרם שהוחבא בגופן בקפסולות שבלעו וכן החדירו לאיבר המין.
המעצר מצטרף למקרים נוספים של נסיונות הברחת סם לתוך תאילנד, דרך שדה התעופה הבינלאומי בפוקט.

מידע מודיעיני
השלוש עוכבו בעקבות מידע מודיעיני שהגיע אל משטרת רשויות המכס וההגירה בשדה התעופה.
חיפוש גופני שבוצע על הנשים, לא גילה דבר.
המידע המודיעיני הגיע מהרשות התאילנדית ONCB ללוחמה בסמים ופשע מאורגן. האו.אן.סי.בי משתפים פעולה עם רשויות משטרה ומודיעין בעולם, כולל שיתוף פעולה הדוק עם נספחות משטרת ישראל בתאילנד.
כח משימה משולב
איתור הנשים ועיכובן, שהתסיים במעצר ואישום במשטרת סאקו בפוקט, בוצע באמצעות כח משלוש יחידות אכיפה שונות בתאילנד. משטרת סאקו, יחד עם סוכני ONCB, וצוות מיחידת ההתערבות בשדה התעופה AITF.
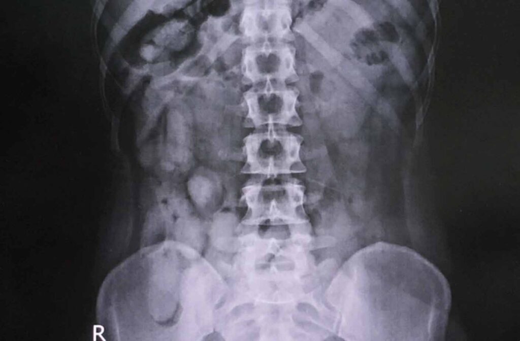
צילום רנטגן
שלוש הנשים הועברו לבית החולים טאלנג על האי, שם בוצע צילום רנטגן של אזור החזה והבטן.

ממצאי הצילום העלו כמות גדולה של קפסולות קוקאין ארוזות בבטנן ובאיבר המין של אחת מהן.
סך הכל הוצאו מגופן קפסולות מלאות קוקאין במשקל כולל 2,857 גרם (כ3 קילוגרם) בשווי העולה על 10 מיליון שקלים (כביליון באהט).

סכנת מוות
הסכנה בהברחה בבליעה, היא התפוצצות של אחת הקפסולות ומוות מהרעלה (מנת יתר). בנוסף, יש חשש לחסימת מעיים והפרעות קשות במערכת העיכול.
חסימת מעיים מחייבת פעמים רבות טיפול כירורגי דחוף, במיוחד כשמדובר בסמים בכמות גדולה.
מחכים בסבלנות
סוכני המשטרה ורשויות האכיפה השונות, המתינו בסבלנות במתקן של רשות ההגירה, עד ששלוש הנשים פלטו את המטען בדרך הטבע (קקי). כל החבילות שנפלטו הכילו קוקאין.
למה דרך שדה”ת בפוקט?
שדה התעופה בפוקט קטן יותר משדות התעופה בבנגקוק (סואנפום ודון-מואנג). בנוסף, האי מחובר ליבשה בגשר, ועמוס בתיירים. המאפיינים האלה הופכים את הנחיתה בפוקט, למסלול אטרקטיבי ל”פרדות סם”, יותר משדה”ת סואנפום בבנגקוק שם האבטחה מוקפדת יותר .


